Bệnh viện Da liễu Trung ương cho biết thời gian qua, bệnh viện tiếp nhận nhiều bệnh nhân ở các độ tuổi khác nhau đến khám vì xuất hiện đốm đen ở gan bàn chân. Họ lo ngại đây là dấu hiệu ung thư da sau khi thấy các thông tin cảnh báo được đăng tải liên tục trên truyền thông.

Hình ảnh tế bào ung thư điển hình của bệnh nhân ung thư da. Ảnh: Bác sĩ cung cấp
Bệnh nhân hơn 60 tuổi cho biết tổn thương màu đen ở gan bàn chân phải đã xuất hiện 3-10 năm, ngày càng to và đậm màu. Trường hợp hơn 30 tuổi có đốm đen kích thước khoảng 11 mm.
Tại bệnh viện, bệnh nhân được thăm khám bởi bác sĩ Khoa Phẫu thuật tạo hình thẩm mỹ và phục hồi chức năng, được chỉ định xét nghiệm máu, siêu âm, chụp dermoscopy - kỹ thuật đặc thù giúp phát hiện sớm ung thư da, cùng các xét nghiệm sinh thiết.
Kết quả cho thấy cả hai đều mắc ung thư tế bào hắc tố gan bàn chân thể tại chỗ (malignant melanoma). May mắn, bệnh được phát hiện ở giai đoạn sớm, chỉ cần phẫu thuật cắt bỏ toàn bộ tổn thương và tái tạo vùng khuyết. Người bệnh sẽ được theo dõi định kỳ trong 5 năm.
Theo bác sĩ Nguyễn Hữu Quang, Phó trưởng nhóm chuyên môn ung thư tế bào hắc tố, đây là một trong những dạng ung thư da ác tính nhất do tiến triển nhanh và dễ di căn. Tuy nhiên, nếu phát hiện sớm và điều trị đúng phác đồ, hiệu quả rất khả quan, tỉ lệ sống sau 5 năm cao, đặc biệt với trường hợp ung thư thể tại chỗ.
Mỗi năm, phòng khám của nhóm chuyên môn về ung thư hắc tố tại Bệnh viện Da liễu Trung ương ghi nhận khoảng 25-30 ca mới. Dấu hiệu nhận biết bệnh thường là tổn thương màu đen kích thước trên 6 mm, lớn dần theo thời gian, màu sắc không đồng nhất. Ở người Việt Nam, tổn thương hay xuất hiện ở vùng da đầu cực như bàn tay, bàn chân, ngón tay, ngón chân.


Hình ảnh tổn thương màu đen ở gan bàn chân của bệnh nhân được phát hiện ung thư da
Theo các bác sĩ, ung thư da tế bào hắc tố là dạng nguy hiểm nhất của ung thư da, xảy ra khi các tế bào da bình thường biến đổi và phát triển mất kiểm soát. Bệnh có thể xuất hiện ở bất kỳ vị trí nào, từ lưng, da đầu, tay chân đến các vùng khó quan sát như niêm mạc miệng, mũi, cơ quan sinh dục. Nếu không điều trị, tế bào ung thư có thể lan vào các cơ quan bên trong.
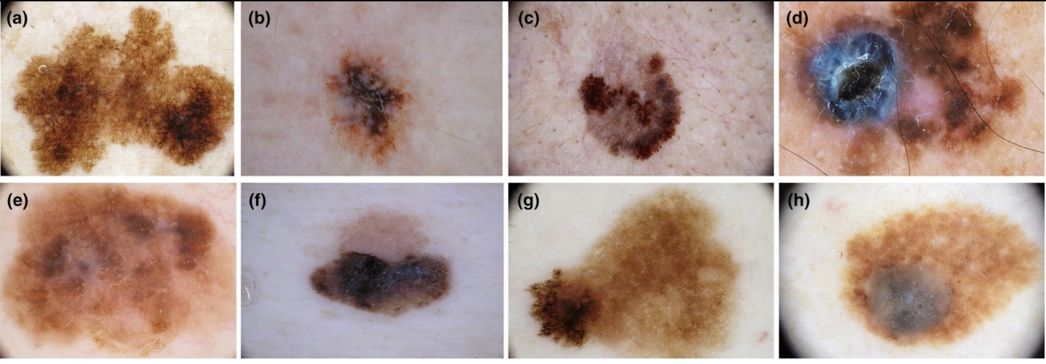
Tổn thương thường biểu hiện dưới dạng nốt ruồi hoặc vết bớt màu nâu, đen, nhưng có những đặc điểm khác biệt so với nốt ruồi lành tính. Dấu hiệu nhận biết dựa trên quy tắc: Nốt ruồi bất đối xứng; bờ không đều, gãy khúc; nhiều màu sắc; đường kính lớn hơn đầu bút chì; thay đổi kích thước, màu sắc hoặc hình dạng theo thời gian, có thể kèm chảy máu, đỏ, sưng hoặc vảy.
Bác sĩ Quang cho biết đa số nốt ruồi, vết bớt là lành tính, nhưng khi thấy đốm đen bất thường, đặc biệt ở gan bàn chân hoặc vùng móng với kích thước trên 6 mm, nên đi khám chuyên khoa da liễu để được chẩn đoán và điều trị kịp thời. Việc phát hiện sớm giúp điều trị triệt căn với chi phí thấp và nâng cao chất lượng cuộc sống cho người bệnh.